Melanoma - Location, Location, Location
November 26, 2018 · Health Tips

Melanoma is a malignancy of melanocytes, the cells responsible for producing pigment in the body. While melanomas can occur in many locations on the body the biological behavior of this tumor can vary tremendously with location. In this article we would like to discuss some of the more common melanomas we see in our patients. Melanoma is much more common in canines, so this article focuses primarily on canine melanoma, but we will briefly review melanoma in cats as well.
Clinical Presentation and Biological Behavior
Oral Melanoma
On average, 80% of melanomas we see in dogs will be diagnosed in the oral cavity (includes gingiva, tongue, hard or soft palate, lip). They are typically seen in dogs ages 10 years and older, and small breeds are at higher risk of developing melanoma. Miniature poodles, cocker spaniels, chows and golden retrievers are the most likely breeds to be affected, although any breed can be diagnosed with melanoma. These are typically solitary tumors, however, they can be quite invasive, extending into underlying soft tissue and bone. Although many oral melanomas will exhibit dark pigmentation and appear black in color, this is not always the case. Some tumors may be pink or exhibit mixed coloring. Additionally, not all melanomas will present with as a distinct mass. Some will present as more of a flat plaque lesion rather than a mass.
Patients with melanoma typically present because the owner has noticed halitosis or a protruding mass or swelling. Many others are diagnosed on oral examination during dental prophylaxis.
Oral melanomas are considered aggressive tumors and typically exhibit a high rate of metastasis to local lymph nodes and the lungs. Even with complete removal of the local oral tumor, approximately 80-85% of dogs with oral melanomas will go on to develop metastatic disease. Some factors associated with a less aggressive behavior are rostrally located tumors, tumors less than 2 cm in size at time of diagnosis, tumors with no bone invasion, and tumors of the lip or mucocutaneous junction.
The second most common location is the nailbed or subungual crest. These occur in 15-20% of dogs, again as a solitary lesion. Dogs often present for lameness on the affected foot, or the owner has noticed swelling, bleeding, or discharge from the affected toe.
Subungual crest melanomas behave much like oral melanomas, with a metastatic rate equivalent to tumors located in the mouth. Metastasis often occurs initially to the local draining lymph node, so careful evaluation of those lymph nodes should be included in initial staging. This would include the superficial cervical nodes and axillary nodes if the tumor is located on a front foot, and the popliteal nodes if the tumor is located on a hind foot.
Dermal Melanoma
Dermal melanomas most often appear as a darkly pigmented dermal mass and may be solitary or multiple. In rare cases, dermal melanomas may invade more deeply into the subcutaneous tissues or, even less commonly, subcutaneous melanomas may occur.
Dermal melanomas confined to haired skin are benign in 85-90% of cases and are therefore cured with complete surgical removal. There are certain characteristics on a biopsy report that would indicate more aggressive behavior, such as a high mitotic rate (3 or more mitotic figures/10 HPF), vascular or lymphatic invasion, or an invasive growth pattern. Any cutaneous melanoma that occurs on a mucocutaneous junction (vulva, anus, lip margin, etc…) has a much higher potential to behave aggressively and should be treated as a malignant melanoma. Therefore, tumor location and your biopsy report will help in determining if additional therapy would be required following surgical removal.
Ocular Melanoma
Melanocytic tumors can also affect the canine eye as eyelid and conjunctival masses, limbal melanocytomas and uveal tumors. While many ocular melanocytic tumors in dogs are histopathologically benign,they all can cause problems for the eye as they enlarge. Most conjunctival and some eyelid and uveal melanomas are malignant. Mitotic index can be a useful predictor of clinical behavior. Up to 95% of uveal melanomas are anterior and involve the iris and/or ciliary body. Malignant melanoma in other places of the body also have the potential to metastasize to the eye. (Ocular information courtesy of Dr. Sony Kuhn, Diplomate ACVO)
Diagnosis
Many melanomas can be diagnosed via cytology based on the presence of melanin granules and characteristic cell morphology. However, cytology is not always diagnostic and therefore biopsy may be required for definitive diagnosis.
A partially pigmented melanoma of the hard palate exhibiting the invasive growth pattern these tumors can display.
Staging
The typical staging tests performed in dogs diagnosed with oral or subungal crest melanoma include routine bloodwork, local lymph node aspirate, and three-view thoracic radiographs. Radiographs of the foot may be performed in cases of subungual crest melanoma to determine if bone invasion is present and whether there is obvious extension beyond P3. Abdominal ultrasound is not routinely recommended since it is rare (but not impossible!) for melanomas to metastasize to the abdominal organs. However, abdominal ultrasound should be included in staging if any associated clinical signs are present.
Treatment
Local Therapy
The best initial treatment plan for melanomas in any location is surgical removal if possible. Dermal melanomas can often be easily removed with local surgery, while subungual crest melanomas are treated with amputation of the affected digit (removal of all 3 phalanges is recommended to ensure an adequate surgical margin). Oral melanomas of the gingiva or jaw require a local maxillectomy or mandibulectomy for complete surgical removal. Dogs do quite well following these types of surgeries, with minimal to no impact on function or quality of life once healing is complete. Dogs that have their tumors completely removed with surgery have the lowest chance of experiencing tumor regrowth during their lifetime.
Unfortunately, there are sites within the oral cavity that preclude complete surgical removal such as sublingual tumors or those of the hard palate. Debulking surgeries are useful for reducing the amount of disease present, but additional therapy should be considered to prevent regrowth as oral melanomas tend to regrow quickly (often within days to weeks) with incomplete surgical removal.
If dogs are diagnosed with disease in the local lymph node, the node should be removed at the time of surgery. Not only will this confirm the diagnosis of metastatic disease, it will decrease the disease burden, making adjuvant therapy more effective.
Radiation therapy is an effective treatment for melanomas that cannot be surgically removed due to size or location. It is also an effective method of preventing disease regrowth in cases where the tumor can only be partially removed or debulked. Even large melanomas can respond well to radiation therapy and may become undetectable, while others simply shrink significantly and remain stable for a period of time. Melanomas treated with radiation therapy have a higher chance of recurring, however, compared to those treated with surgical removal.

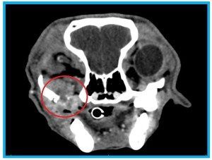
This CT image demonstrates the invasive growth pattern that many melanomas exhibit. This dog had a 3 cm pigmented gingival mass present within the mouth, along with pain on opening the jaw and some facial swelling. The CT scan showed significant invasion of the mass through the maxilla and the zygomatic arch, with extensive soft tissue invasion in the retrobulbar space (outlined).
Melanomas respond most effectively to coarsely fractionated radiation therapy (a larger dose given less frequently), so radiation treatment is typically administered once weekly for 4 weeks. Radiation therapy is most frequently utilized in treating oral melanomas, as dermal and subungual melanomas are almost always removed with surgery. Side effects with this type of radiation therapy are minimal, but may include mild irritation of the mucous membranes of the mouth (mucositis). Side effects, if they occur, heal within 1-2 weeks of treatment and minimally impact the patient. The therapy typically includes treatment of the local draining lymph node, especially if metastatic disease has been confirmed.
Systemic Therapy with Melanoma Vaccine
Although local therapy is effective at alleviating clinical signs (pain, loss of appetite, bleeding oral masses) in patients diagnosed with malignant melanoma, it does not result in long-term disease control due to the potential for metastasis. Dogs treated with surgery alone to remove a malignant melanoma, even if the surgical removal is complete, typically develop metastatic disease within 5-6 months of surgery. Only about 10% of dogs will survive more than a year with surgery alone as treatment.
Given these statistics, adjuvant therapy to control metastatic disease must be considered, and the current treatment of choice for delaying metastasis is the melanoma vaccine. Oncept® is a USDA-approved therapeutic DNA vaccine that uses human tyrosinase to elicit an immune response against the native tyrosinase expressed on melanoma cells. Therefore, the patient mounts an immune response against any melanoma cells remaining in the body and targets them for elimination.
The Oncept® vaccine is administered every other week for 4 treatments to mount the initial response, and a booster vaccination is administered every 6 months thereafter if the patient staging remains negative. The most commonly reported side effects include local irritation at the vaccination site and loss of pigment from heavily pigmented areas of the body. Most owners state that they would never know their dog is receiving any type of therapy. The vaccine is delivered intradermally with a needleless apparatus and is administered in the inner thigh. It is currently only available through veterinary oncologists or internists.
The vaccine is labeled for use in dogs with Stage II or III oral melanoma in which effective local disease control has been achieved. Current research reveals that the vaccine extends the survival time to 1-2 years with local tumor control. Less than 50% of dogs that receive the vaccine succumb to metastatic disease within a year of initial surgery.
Although the vaccine is labeled for use in dogs diagnosed with oral melanoma, preclinical studies and clinical use extends to dogs with malignant melanomas in any location, including the subungual crest or malignant cutaneous/subcutaneous melanomas. These cases respond as favorably to the vaccine as cases of oral melanoma in published studies.
The vaccine is not considered effective in cases that do not have local disease control. Administration of vaccine alone is extremely unlikely to shrink visible tumor or even prevent progressive growth. Therefore, we do not recommend vaccination without surgery or radiation to control the primary tumor. Vaccine may be used in cases in which microscopic disease has been achieved, but the owner is always cautioned that local regrowth may occur during treatment and will then require additional intervention. The vaccine has been used with variable success to delay the progression of metastasis in dogs diagnosed with Stage IV disease if the metastatic disease is not too advanced at the time of diagnosis.
It should be noted that some small retrospective studies were recently published that did not find any survival advantage in dogs treated with vaccine compared to dogs treated with surgery alone. However, in the experience of the UVS oncologists and anecdotally from other oncologists, the vaccine is considered effective at delaying metastatic disease compared to surgery alone. In addition, the vaccine is still recommended for use by the institutions that performed the studies finding no survival advantage.
Additional Therapy
Prior to the release of Oncept®, the most effective treatment for delaying metastasis of malignant melanoma was carboplatin chemotherapy. It was not very effective and only extended the survival time by a few months in most dogs. It is still considered a viable treatment options in dogs that have failed the melanoma vaccine, but dogs may not respond for extended periods.
Melanomas that become unresponsive to vaccine or carboplatin therapy have shown varying responses to Palladia® therapy. Palladia® is a tyrosine kinase inhibitor that targets several membrane receptors that may result in delay of progression of disease. Although Palladia® is labeled for use in dogs diagnosed with mast cell tumor, it has been evaluated for use in many types of cancer at this time. Anecdotally, some dogs will have stable to partial responses to Palladia for a period of several months, while others will have no notable response to the drug.
Prognosis
Overall, dogs diagnosed with malignant melanoma and treated with surgery alone experience survival times of 4-6 months following surgery. They eventually develop life-limiting metastatic disease to the local lymph nodes and/or lungs.
Complete surgical removal of the primary tumor followed by administration of the Oncept® vaccine results in a median survival time of approximately 1.5 years, with 30-40% off dogs surviving more than 2 years. Dogs with tumors located on the lip are more likely to experience longer survival times compared to tumors in other locations.
Dogs that receive radiation therapy combined with vaccine or dogs that have microscopic disease at the time of vaccine administration experience median survival times of approximately 1 year. Their disease may progress in the form of local regrowth or development of metastasis.
Dogs diagnosed with Stage I melanomas have significantly longer survival times than dogs diagnosed with Stage II-IV disease, regardless of treatment chosen. There was no survival benefit shown in the small population of Stage I dogs that were administered the melanoma vaccine in preclinical trials. Therefore, we typically recommend only regular routine monitoring of these patients after surgical removal of the tumor.
Feline Melanoma
We most frequently observe malignant melanomas of the iris in cats, although oral melanomas also rarely occur. The vaccine has been evaluated for safety and efficacy in cats following local surgery or radiation therapy (oral surgery, enucleation, etc..) and has been shown to be an effective treatment option. The vaccine schedule is the same. Median survival times vary, but a survival time of approximately 1 year is expected with the use of surgery and vaccine.
If you would like additional information, please contact us.

